Ressources médicales
Articles

Radiologie interventionnelle

La Radiologie Interventionnelle fut lancée dans les années 60 par le Dr Charles Dotter qui réalisa la première angioplastie pour traiter une gangrène du pied. Depuis, les possibilités techniques et l’inventivité médicale en ont fait une nébuleuse d’actes parfois peu connus allant de l’embolisation d’anévrysme cérébral à l’embolisation d’hémorroïdes, en passant par le traitement percutané des tumeurs sous contrôle de l’imagerie et les angioplasties percutanées.


La Société Belge de Radiologie (BSR = Belgian Society of Radiology) oeuvre à la reconnaissance de cette sous-spécialité (pas si) émergente. Denis Henroteaux, vice-président de la BSR, explique : « Nous revendiquons cette reconnaissance de la Radiologie Interventionnelle pour permettre le développement futur de ces traitements peu invasifs dans les meilleures conditions. Ce cadre légal espéré implique une formation spécialisée strictement définie pour le radiologue interventionnel, la création de lieux adaptés, la mise en place d’une nomenclature INAMI dédiée aux actes prestés … ».


Nos voisins Hollandais et Français ont déjà fait le pas et reconnaissent le titre de Radiologue Interventionnel à part entière. En France, la formation de radiologue présente maintenant deux bras distincts comportant un tronc commun de quatre ans en Radiologie Diagnostique suivi soit d’une année complémentaire dans une sur-spécialité en Radiologie Diagnostique, soit de deux années de Radiologie Interventionnelle dans tous ses aspects. L’objectif outre-quiévrain étant de former à terme 60 % de radiologues à visée diagnostique pour 40 % de radiologues à visée interventionnelle !
 

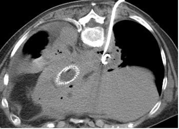
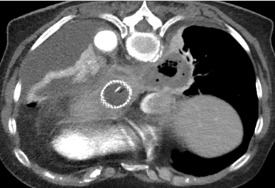
Cas 1 : Femme de 64 ans, transférée pour complication post fundoplicature de Nissen,

drainage sous scanner d’un abcès médiastinal postérieur droit.
 

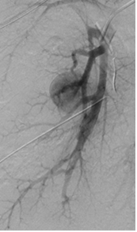
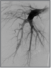
Cas 2 : Pseudo-anévrysme sur branche sous-segmentaire de l’artère pulmonaire droite

après multiples drainages pour infection pleuro-pulmonaire sévère. Contrôle avant et après

embolisation par coil.
 

Nos experts

Photo de Denis HENROTEAUX

Dr Denis HENROTEAUX

Service d'Imagerie médicale
Radiologue